经常看手机,你的大脑将会变成这个样子!

发布日期:2023-11-27

点击蓝字,关注我们


近几年来,随着华为、苹果、三星、小米等智能手机的广泛普及,手机已成为大部分人尤其是当代大学生们生活中不可或缺的一部分, 智能手机在给人们生活带来方便的同时,也使人们越来越依赖于它,并形成了一种新的心理病———手机依赖症( mobilephone addiction,MPA)。


手机依赖症不同于物质成瘾, 它没有直接摄入具有生物效应的物质, 而是沉迷于微信、网络游戏、小说、电影、网购、网络交友等手机功能,甚至达到痴迷状态,以至于一段时间不使用手机就变得焦急难耐,表现出焦躁、孤独、沮丧感等类似于物质成瘾的“戒断反应”,严重影响身心健康。


那么手机依赖症对大脑到底有什么影响呢?


深圳中医院以及中国科学院深圳先进技术研究院进行了详细的研究。


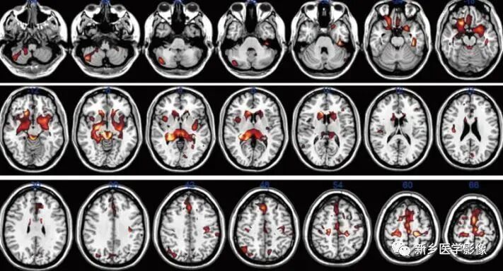
本次研究老师们通过16个问题的测试把48名同学分成了手机依赖症组25名,正常组23名。使用3.0T磁共振进行对48名在校大学生进行了扫描,并对大脑关键区域:中央前回、旁中央小叶、额上回、眶额部皮层、背侧前扣带回、岛叶、基底节区的尾状核、壳核、苍白球、杏仁核和丘脑、伏隔核、中脑腹侧被盖区、海马等进行了深入的分析。


最后的结果表明:


1.手机依赖者大脑中的一些部位的体积显著低于正常组,这些部位包含了决策与情绪加工、管理相关的部分边缘系统和纹状体区; 冲动控制相关的中央前回、旁中央小叶、额上回、眶额部皮层、岛叶、背侧前扣带回灰质区。


2.手机依赖者与决策能力、冲动控制能力相关脑区受损。


手机依赖者的前额叶及背侧前扣带回体积显著低于正常对照组, 在物质成瘾中扣带回体积的减小较为常见,作为执行控制网络的重要组成部分,之前大量的物质成瘾研究已证明扣带回具有认知功能、情感调节和自我控制的功能。背侧前扣带回体积显著低于正常对照组,它是手机依赖者冲动控制能力受损的神经基础。前额叶和岛叶是与决策行为密切相关的脑区, 这些脑区的改变与网络成瘾个体受损的决策能力相关 。


研究结果与病理性赌博和物质成瘾具有类似性, 冲动控制能力受损。


这可能是导致手机依赖者控制能力及执行能力下降的原因。


大学生在使用手机进行正常的交流与学习时,无法控制自己使用手机进行娱乐等其他活动,他们明知道长时间使用手机会影响学习成绩,同时对身心健康造成不利影响的情况下,仍然难以改变自己频繁使用手机的习惯, 手机突然没有信号或关机就会表现出焦急难耐, 甚至脾气变得暴躁起来等类似于物质成瘾的“戒断反应”, 在暂时的满足和长期的负面结果之间难以作出正确的决策,依然选择沉迷于手机中, 这反映了依赖个体的社会决策能力受损 。


这与之前的药物成瘾和病理性赌博患者的研究结论一致。


3.手机依赖者与奖赏、情绪加工管理相关脑区受损


手机依赖者除冲动控制能力受损之外, 另一个重要的表现就是奖赏及情绪管理能力受损。典型的表现就是情绪比较低落,愉悦感不足,不愿直接面对面交流,通过手机与他人交流时, 会感到更自信、更充实。


本研究中海马、中脑腹侧被盖区、岛叶、杏仁核、伏隔核及基底节区的尾状核、壳核、苍白球体积显著低于正常对照组, 这些脑区被认为是与奖赏及情绪加工管理密切相关的区域。


它们一旦受损,手机依赖者极可能会导致大脑奖赏回路对正常的自然奖赏信号的敏感性降低, 导致个体对自然奖赏缺乏应有的兴趣,进而从自然奖赏中已无法获得愉悦感;手机的便捷性与多功能性恰好能够为大学生们提供一个虚拟的环境为他们获取愉悦感, 以释放在现实生活中的不满情绪与压力; 手机的虚拟世界能够满足他们的心理需求,最终导致对手机的依赖。


此外,《中国临床心理学杂志》发表了一项“记忆保持阶段使用手机对新词记忆的影响”的研究,探讨在记忆保持阶段的手机阅读活动是否会对先前学习的词语的记忆产生影响。



手机依赖者与记忆力受损有关


研究者认为手机的使用以及手机产生的高频电磁场可能会影响大脑的部分认知功能,包括注意、记忆和执行控制等。


学习后进行适当的休息(相对于去完成其他任务),可以促进被试对新学习的内容的记忆,并且这种效果可以持续到一周后。但是在日常生活中,人们经常在完成其他任务的间隙,即碎片时间, 去使用手机,这可能会影响我们对新内容的记忆保持和巩固。因此考察手机使用对记忆保持过程的影响具有现实意义。


这项研究发现,在记忆保持阶段施加手机活动,更有可能影响新学习事物记忆力的保持。手机产生的电磁场并非影响整个记忆过程,在记忆保持阶段,刷手机就会对记忆效率产生负面影响。这提醒我们在学习后的间隙,特别是在学习了新知识后的间隙,最好能进行适当的休息,尽量少使用手机,否则将不利于我们对新知识的记忆保持和巩固。


道理大家都懂,但是怎么样才能做到减少手机的使用呢?


原始脑与理性脑的概念,帮助我们理解“控制不住看手机”的行为。


从人类的进化来看,爬行动物演化出了最初的“本能脑”即“原始脑”。


原始脑的结构很简单,可以让爬行动物快速做出本能反应,比如遇到危险就战斗或逃跑,遇到猎物就捕食,遇到心仪的异性就追求。


人们更愿意贪图安逸,虽然觉得应该做家务,但就是拿起了手机刷个不停;觉得应该减肥,但就是禁不住美食的诱惑,让减肥一次次失败;这些都是正常的,是我们的原始脑在发挥作用。


我们可以温和地对自己说“你看,这个原始人又出来了,让它放下(手机or美食),确实挺不容易的……”。


你与它温和地对话,体内的原始人,就更愿意倾听你的意愿,更愿意接受理性脑的引导。


所以,当你又要拿起手机时,不妨暂停一分钟,让理性脑和原始脑好好地沟通一下。


我们可以在晚上睡觉时,把手机放在离自己远一些的位置,而不是放在枕头边,这样就制造了一个理性脑和原始脑对话的机会。




  素材来源于网络,如有侵权请联系删除


微信公众号 

文章转载自微信公众号:广东省心理卫生协会

地址: 广州市石牌岗顶中山大学附属第三医院
邮编: 510110

Copyright © 2026 广东省心理卫生协会 All Rights Reserved. 粤ICP备17127231号-1